
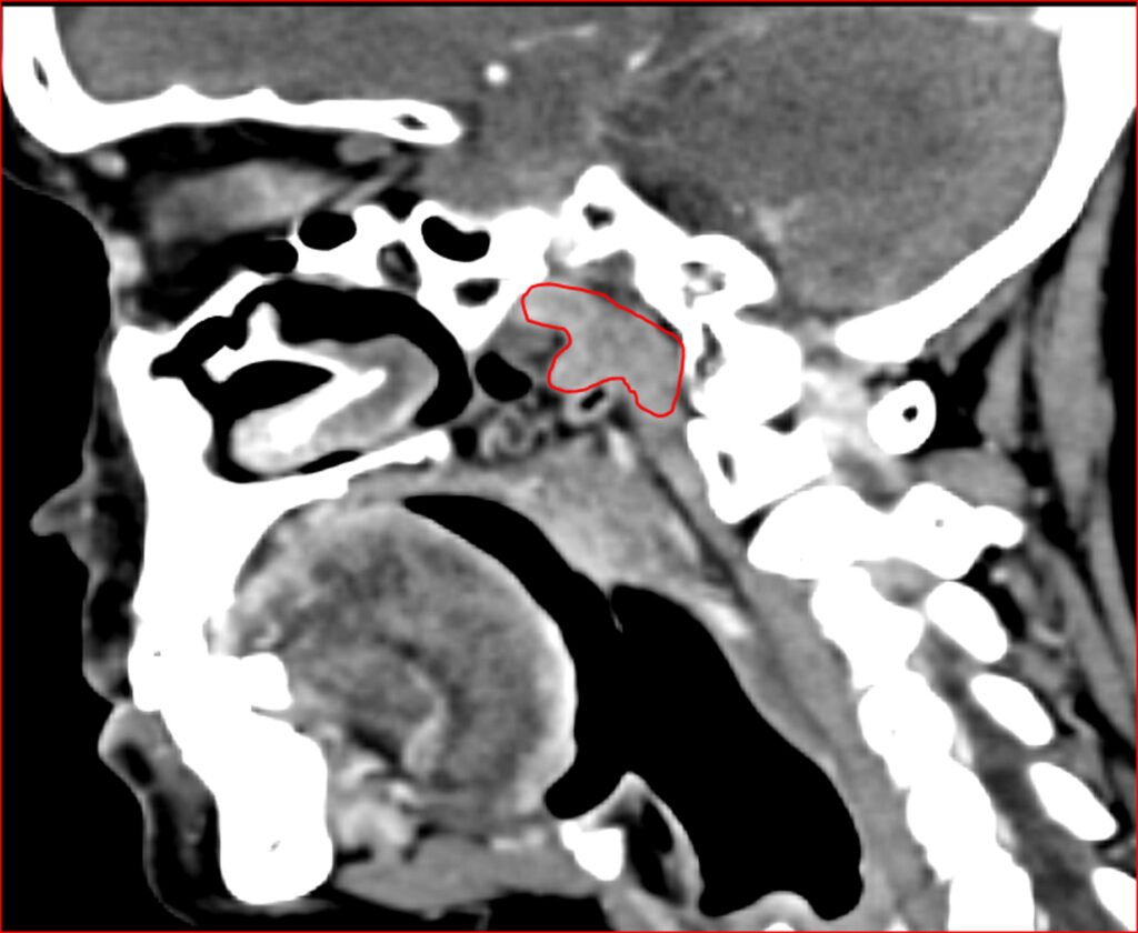
Small Organ Hidden Near the Nasal Passage: and yes, that headline is 100% real. In a time when we’ve mapped the human genome, perform robotic surgeries, and stream live heart procedures across the country, you’d think we had the human body completely figured out. But medicine still has its surprises. In 2020, researchers reported the discovery of what may be a previously overlooked pair of salivary glands hidden deep behind the nasal cavity. These structures were identified in the upper throat region known as the nasopharynx and were proposed to be named the tubarial salivary glands. The finding sparked global discussion among anatomists, oncologists, and medical educators — including here in the United States.
As someone who has spent years covering healthcare advancements and reviewing clinical data, I can tell you this: discoveries like this don’t just make headlines. They can influence cancer treatment, surgical planning, and medical education. Let’s break this down clearly, thoroughly, and in plain language — while still respecting the science.
Table of Contents
Small Organ Hidden Near the Nasal Passage
Researchers Detect a Small Organ Hidden Near the Nasal Passage, and while the debate over classification continues, the implications for radiation oncology and anatomical science are meaningful. The proposed tubarial salivary glands highlight how modern imaging tools can reshape longstanding medical knowledge. Whether officially recognized as a new organ or redefined within existing glandular systems, the discovery underscores medicine’s commitment to refining patient care and improving quality of life across the United States.
| Topic | Details |
|---|---|
| Proposed Structure Name | Tubarial Salivary Glands |
| Discovery Announced | 2020 |
| Research Institution | Netherlands Cancer Institute |
| Anatomical Location | Nasopharynx (behind nasal passage) |
| Detection Method | PSMA PET/CT Imaging |
| Potential Function | Mucus secretion & throat lubrication |
| Clinical Relevance | Radiation therapy planning in head & neck cancer |
| Research Publication | Radiotherapy and Oncology Journal |
| Official Reference | https://www.nki.nl/ |
Understanding the Nasopharynx: Where This Organ Was Found
To understand the significance, we need to understand location.
The nasopharynx sits behind your nose and above the back of your throat. If you’ve ever had post-nasal drip, that’s the general neighborhood. It’s also near the opening of the Eustachian tubes — the small passages that help equalize ear pressure when you’re on a plane.
This area is small, complex, and not easy to examine without advanced imaging or specialized endoscopy.
Historically, anatomy textbooks recognized three major salivary glands:
- Parotid glands (largest, near the jaw)
- Submandibular glands (under the jaw)
- Sublingual glands (under the tongue)
There are also hundreds of minor salivary glands scattered throughout the mouth and throat. What makes the tubarial glands potentially different is their size, consistency, and symmetrical structure.
How the Small Organ Hidden Near the Nasal Passage Discovery Happened?
This wasn’t a case of someone casually spotting something new during routine anatomy lab.
The researchers were using a specialized imaging method called PSMA PET/CT scanning. PSMA stands for Prostate-Specific Membrane Antigen — a molecule highly expressed in prostate cancer cells. These scans are commonly used in oncology to detect prostate cancer spread.
According to the National Cancer Institute, PET scans work by using radioactive tracers to highlight metabolically active tissue. In this case, PSMA tracers also bind to salivary gland tissue.
While scanning over 100 prostate cancer patients, researchers noticed consistent tracer uptake in the same region of the nasopharynx. That raised eyebrows.
To confirm their observations, the team examined cadavers and identified glandular tissue in that location. The findings were published in the peer-reviewed journal Radiotherapy and Oncology.
Why Small Organ Hidden Near the Nasal Passage Matters for Head and Neck Cancer Treatment?
Now let’s get to the real-world impact.
According to the American Cancer Society, approximately 66,000 Americans are diagnosed with head and neck cancers each year, and about 15,000 deaths occur annually from these cancers in the U.S.
Radiation therapy is one of the primary treatments. While effective at targeting tumors, radiation can damage nearby healthy tissue — especially salivary glands. This damage often leads to:
- Chronic dry mouth (xerostomia)
- Difficulty swallowing
- Speech challenges
- Increased dental problems
- Reduced quality of life
If these tubarial glands contribute significantly to throat lubrication, then protecting them during radiation planning could improve patient outcomes.
Radiation oncologists already try to spare major salivary glands. If these newly described glands are confirmed as functionally important, treatment planning software and contouring guidelines may eventually include them.
That’s not just academic debate — that’s quality-of-life medicine.
Are These Truly a New Organ?
Here’s where the conversation gets nuanced.
In anatomy, labeling something as a “new organ” is serious business. It requires:
- Structural consistency
- Distinct function
- Unique histological features
- Scientific consensus
Some anatomists argue these glands are simply clusters of minor salivary glands that were never categorized as a separate entity. Others believe their size and symmetry justify distinct classification.
The American Association of Clinical Anatomists and other professional bodies have called for further histological and functional studies before updating textbooks.
That’s how science works in the United States and globally — evidence first, conclusions second.

The Role of Advanced Imaging in Modern Discovery
This discovery highlights a larger truth: technology drives progress.
Medical imaging has advanced dramatically in the past two decades. PET/CT fusion imaging allows doctors to see metabolic activity layered over anatomical structures. According to the Radiological Society of North America, PET/CT scans have become critical in oncology staging and treatment planning.
Without PSMA PET imaging, these glands may have remained unnoticed for decades.
Think about that.
We didn’t necessarily “miss” them — we just didn’t have the right lens.
Implications for Medical Education in the USA
If future research confirms the tubarial glands as a distinct anatomical structure, several changes may follow:
- Updates to medical school anatomy curricula
- Revisions in head and neck surgical training
- Modified radiation oncology contouring guidelines
- Inclusion in anatomical atlases like Gray’s Anatomy
Medical education in the United States relies heavily on peer-reviewed consensus. Institutions such as Johns Hopkins Medicine and the Mayo Clinic regularly update clinical practice based on evolving evidence.
This discovery may eventually influence how students learn head and neck anatomy.
Practical Advice for Healthcare Professionals
If you’re in healthcare, here’s what you should consider:
For Radiation Oncologists:
- Stay updated on contouring recommendations.
- Monitor follow-up studies evaluating functional impact.
For ENT Surgeons:
- Be aware of anatomical discussions in nasopharyngeal procedures.
For Medical Educators:
- Encourage students to understand how anatomy evolves with technology.
For Researchers:
- Conduct functional studies to evaluate mucus production contribution.
What Small Organ Hidden Near the Nasal Passage Means for Patients?
For everyday Americans, here’s the bottom line:
This discovery does not mean your anatomy suddenly changed. It does not require new screening tests. It does not suggest hidden health risks.
What it does mean is that medical science continues refining our understanding of the human body — especially in areas that affect cancer treatment outcomes.
If you or a loved one is undergoing radiation therapy for head and neck cancer, discussing gland-sparing strategies with your oncology team is reasonable and informed.

Scientists Explore a Curious Link Between the Human Subconscious and the Solar System
Astronomers Finally Fill in the Kuiper Belt’s Missing Pieces — A Hidden Solar System Revealed
This Strange Fluid Can Capture Summer Sunlight and Release Heat Months Later
Broader Perspective: Medicine Is Always Evolving
This story is bigger than one gland.
It reflects how healthcare in America evolves through:
- Peer review
- Technological innovation
- Clinical validation
- Evidence-based adaptation
Even in 2025, anatomy is not frozen in time.
And that’s reassuring.
Because progress means better care.
















